switch to system theme

dental implants

Image of sunset background plus photo of patient at dentist
About Dental ImplantsUnderstanding the ProcessFAQs

TOOTH IMPLANT PROCESS Tucson, AZ

Beyond Tooth Replacement

Dental implants offer a harmonious blend of enhanced aesthetics, restored functionality, and a boost in oral health

Tooth loss can have profound implications, from affecting one's appearance to challenging everyday tasks like eating or speaking. Dental implants, however, go beyond just filling the gap. They help in preserving the jawbone, preventing bone loss, and ensuring facial structure integrity. By integrating seamlessly with your bone, they provide a foundation for replacement teeth that stand the test of time, letting you reclaim the joy of a full and functional smile.

PERIODONTIST Tucson, AZ

About Dental Implants

Revolutionizing tooth replacements with durable, natural-looking, and functional solutions for lost or damaged teeth

Patient viewing consultation results

A Permanent Solution

Dental implants are more than just tooth replacements; they serve as a sturdy foundation that closely mimics the natural tooth root. Crafted with biocompatible materials, implants fuse with the jawbone over time, providing a long-lasting solution to tooth loss while ensuring bite strength and functionality.

Patient looking in the mirror as a result of consultation

Aesthetics and Functionality Combined

Traditional tooth replacement methods often focus on the visible portion of the tooth, but dental implants recreate the entire tooth structure, from root to crown. The result? A restoration that doesn’t just look real but feels and functions like your natural teeth, allowing you to eat, speak, and smile with confidence.

Dentist showing dental x-rays

The Hillside Dental Care Advantage

Choosing dental implants is a significant decision. At Hillside Dental Care, our team employs the latest techniques and technologies to ensure precise implant placement, promoting quicker healing and lasting results. Your comfort and satisfaction are at the core of our approach.

decorational icon

AFFORDABLE DENTAL IMPLANTS Tucson, AZ

A New Era of Dental Solutions

In the realm of dentistry, dental implants are a groundbreaking solution, bridging the gap between aesthetics and functionality. At Hillside Dental Care, we combine expertise, state-of-the-art technology, and a patient-centric approach to craft implant solutions that resonate with your unique needs. Embrace the future of dental restorations, and let us be your guiding partner.

Request Appointment
Blurred image of sunset in city

NEW TEETH Tucson, AZ

Understanding the Process

Dive into the journey of dental implantation, from consultation to completion, and discover the transformative potential of modern dentistry

The dental implant process begins with a comprehensive evaluation where we assess the condition of your jawbone, the position of the missing tooth, and your overall dental health. Once deemed suitable, the implant—a small titanium post—is surgically positioned into the jawbone. As it heals, it integrates with the bone, forming a stable base. Finally, a custom-crafted crown is attached to the implant, completing the restoration. Throughout this journey, Hillside Dental Care ensures your comfort, keeps you informed, and works diligently to bring back your radiant smile.

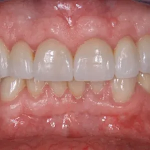
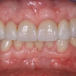
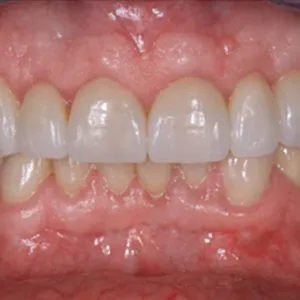
Before and after teethBefore and after teethBefore and after teethBefore and after teethBefore and after teethBefore and after teethBefore and after teethBefore and after teethBefore and after teethBefore and after teeth

DENTAL IMPLANTS Tucson, AZ

Our Services

Unparalleled expertise in comprehensive dental care tailored to every unique smile

Filling illustration

Fillings

Hillside Dental Care is dedicated to delivering top-tier cavities and fillings care. Our experienced team uses the latest techniques and materials to ensure painless and effective treatments.

Learn more
Patient smiling looking at himself in the mirror

Dentures

Regain the functionality and aesthetics of your smile with our tailor-made dentures. Crafted for optimal comfort and natural appearance, they seamlessly fill in gaps, letting you chew, speak, and smile with renewed confidence.

Learn more
Dental crown illustration

Crowns

Whether restoring a damaged tooth or filling a void, our crowns and bridges combine functionality with aesthetic brilliance. Each piece is artfully crafted, ensuring a natural look and a resilient dental future.

Learn more

PERIODONTIST Tucson, AZ

FAQs

Providing clarity on common queries!

  • Ideal candidates for dental implants have good overall oral health, sufficient jawbone to support the implant, and are free of conditions that might affect bone healing. A thorough consultation can help determine suitability.

  • With proper care and maintenance, dental implants can last a lifetime. The attached crowns might require replacement after 10-15 years due to wear and tear, but the implant itself is designed for longevity.

  • Dental implant surgery is typically performed under local anesthesia, ensuring the area is numb. Post-surgical discomfort can be managed with over-the-counter pain relievers and is usually minimal.

  • Dental implants can be cared for like natural teeth—regular brushing, flossing, and dental check-ups are crucial. Your dentist might also recommend specific care guidelines to ensure their longevity.

Tucson, AZ PREMIER DENTISTRY

CONTACT US

OFFICE HOURS

Monday - Thu 8a - 3p

Fri - Sun Closed

Click to schedule or call now

(520) 744-0700 Request Appointment
  • 7241 North Thornydale Rd
    Tucson, AZ 85741

YOUR NEW DENTISTS IN Tucson

Patient Stories

Check out what our patients are saying

testimonial
Polly W.

Confidence Reborn

Thank you for giving me back my smile and my confidence. You have no idea what a difference you have made in my life. We think you are very special and understanding.
testimonial
Adam C.

Revelatory Dental Care

My wife loved your dental office: extremely professional and very caring people. She had no idea she was grinding her teeth at night and what it was doing to her teeth. No one noticed that before!
testimonial
David N.

Gratitude for Expertise

Dear Dr. Rosenberg, A highlight for the year has been getting to know you better – thank you for all you have done for our family. We appreciate your expertise.
testimonial
Steve C.

Two Decades, Unwavering Trust

My wife and I have been with Hillside Dental for nearly 20 years. From dental cleaning to root canals and almost all dental needs. Dr. Rosenberg and his staff are highly skilled, knowledgeable and very focused on their patients. We are moving to California soon but I would be tempted to come back for our dental needs.
testimonial
Trish D.

Exceptional Emergency Care

I had a really bad tooth emergency over this past weekend. Since it was a Sunday, the office was closed. I texted the Dr.'s emergency line, and he came into the office with an assistant ready to go and relieve my pain. I can't tell you enough what a relief it was to get this taken care of. I'll always recommend Dr. Rosenberg and his staff.
testimonial
Kyra R.

Exceptional Experience

I have nothing but the best to say about Hillside Dental Care. The dentist was very kind and polite. I had not been to a dentist in over 15 years and was very nervous, but the dentist and staff made me feel comfortable. I would highly recommend going to this office; they are amazing!
testimonial
Ann R.

The Best Care

I have been going to John Rosenberg since I moved here in 1987. He has been the best dentist I have ever had—no pain! Only the best care I could ask for anytime and every time I needed him. The whole team at this office are Professional, Courteous, Friendly, couldn't ask for more! I recommend them most highly.
testimonial
Cathy S.

20 Years of Great Service

I have been going to this dentist for about 20 years. They have been great with my dental needs as well as my children's. Very patient with the kids. I love this office. Dr. Rosenberg is great, and Ruby is so helpful. My dental hygienist made my teeth feel like new!
testimonial
James S.

First-Class Dental Care

I have had cleanings, fillings, and crowns done by this dentist. All of the work was first class. The staff and Dr. Rosenberg were personable and professional. They were very attentive to my comfort and care. I would recommend them to anyone.
testimonial
Nicole S.

Comfortable Dental Work

I had 3 teeth removed recently, and I was very nervous as I've never had adult teeth pulled before. The entire staff is super friendly and nice and eased my fears about being at the dentist for the first time in 15 years. Dr. Rosenberg is very knowledgeable with a gentle touch and great bedside manner. I will recommend this office to anyone needing dental work!
testimonial
Nick K.

20 Years of First-Class Care

Been getting first-class care for over 20 years. I've recommended them to friends and family, and we all agree they make the experience comfortable, and you leave with confidence that you just received excellent care.
testimonial
Ramon A.

Gentle and Caring Treatment

This is the best dental experience I have had in my LIFE. I had a lot of dental work done as a little boy, including a headgear, extractions, fillings, and braces. As a result, I am traumatized. However, the staff was extremely gentle and aware of my dental office anxiety. THANK YOU to the entire staff for taking such good care of me! I highly recommend!
testimonial
Megan J.

Compassionate Care

I walked into this dental office with an extreme fear of dentists. The staff is always pleasant, kind, and does everything in their power to help me be comfortable EVERY TIME. Extensive variety of services performed in office. Easily made emergency appointment. Would highly recommend to anyone looking.

EMERGENCY DENTAL CARE Tucson, AZ

Proudly Accredited, Professionally Affiliated

Upholding the highest standards of dental excellence through our esteemed accreditations and industry affiliations

ADA logoArizona Dental Association logo

DENTAL CARE TEAM Tucson, AZ

OUR SOCIALS

Check us out and follow our accounts on the following social media platforms